IF=14.1 | Umibio多款核心产品助力客户肝细胞癌进展研究!

近期,来自新乡医学院健康中原研究院的任文杰教授、新乡医学院第一附属医院的王雷教授和广州医科大学生物医学工程学院的郭伟圣教授团队在Advanced Science杂志发表了题为“Dysregulation of CircZNF79(5) Modulates YBX1 Stability and Selective Autophagy to Drive Hepatocellular Carcinoma Progression”的科研论文,IF=14.1。

研究背景:
肝细胞癌(Hepatocellular carcinoma,HCC)是一种常见的原发性恶性肿瘤,死亡率高,对人类健康和安全构成重大威胁。目前HCC的临床治疗主要包括手术切除或化疗,但治疗效果有限。由于远处转移和多灶性生长导致预后较差,因此需要探索新的致病机制和治疗靶点。circRNA是通过线性RNA反向剪接形成的共价闭合环状分子,具有稳定性高、组织特异性强和免疫原性低等特点,在肿瘤中可通过结合蛋白、吸附miRNA、编码多肽等方式发挥调控作用,是潜在的生物标志物和治疗靶点,但多数HCC相关circRNA的功能和机制尚未明确。本文旨在筛选HCC中异常表达的circRNA,明确其在HCC进展中的作用机制,为HCC的诊断和治疗提供理论依据。

研究成果及意义:
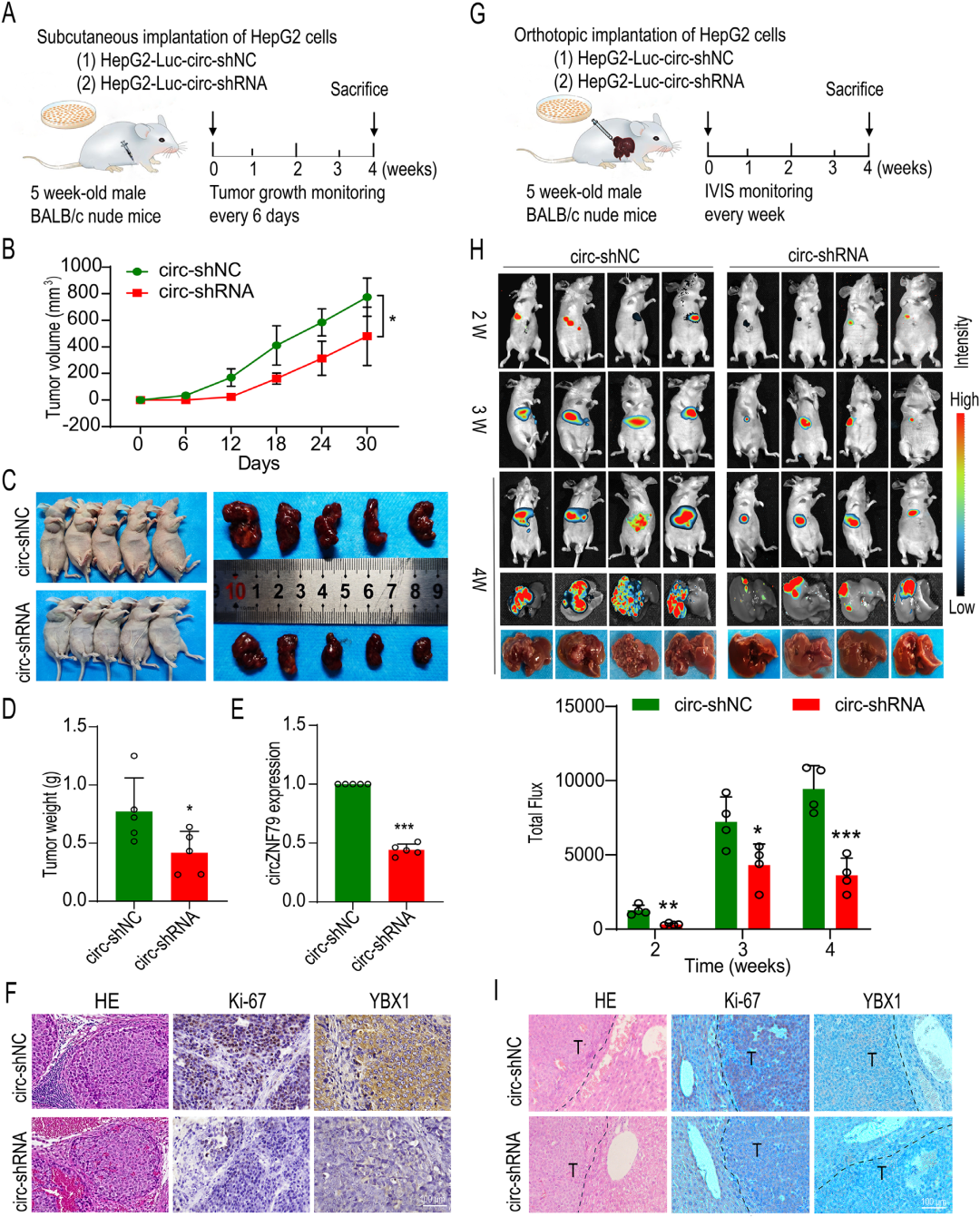
在本研究中,作者首先通过分析GSE166678和exoRBase2.0数据库,筛选出在HCC组织中显著上调的circRNA-hsa_circ_0006984,因其源于ZNF79 基因第5外显子的反向剪接而命名为circZNF79 (5)。临床样本验证结果显示,circZNF79 (5)在HCC组织、HCC细胞系(Huh7、HepG2)及患者血清外泌体中均高表达,且主要定位于细胞质,其高表达与肿瘤晚期和不良预后密切相关,揭示了其潜在的诊断 biomarker 价值。为了验证circZNF79(5)在HCC细胞中的作用,作者进行了体外细胞实验(siRNA/shRNA敲低和过表达载体构建),CCK-8、EdU、Transwell和流式细胞术实验结果发现敲低circZNF79 (5) 抑制HCC细胞增殖、迁移和侵袭,促进凋亡,过表达circZNF79 (5)则呈现相反效果;表明circZNF79(5)在体外HCC细胞中起着癌基因的作用。在分子机制层面,作者通过RNA pull-down结合质谱分析鉴定出circZNF79 (5) 的特异性结合促癌蛋白YBX1,进一步验证表明二者通过YBX1的CSD结构域(61-125aa)与circZNF79 (5) 的458-468序列实现相互作用,二者共定位于Huh7和HepG2细胞的胞质中。为了进一步探索YBX1的致癌作用,作者使用Flag标记载体过表达YBX1。结果发现过表达YBX1可逆转circZNF79 (5) 敲低对HCC细胞的抑制效应,且YBX1能通过上调HIF-1α激活HIF-1信号通路,介导 circZNF79 (5) 的促癌功能。为了阐明敲低circZNF79(5)降低YBX1蛋白水平的机制,作者进行了Co-IP、WB实验和蛋白质组学分析,结果表明敲低circZNF79(5) 通过AMPK/mTOR信号通路促进了YBX1的选择性自噬降解。为了探索circZNF79(5)介导的YBX1稳定的泛素化机制和关键分子,作者对转染Flag-YBX1和circ-shNC或-shRNA的HepG2细胞中的YBX1免疫沉淀复合物进行了质谱分析。结果发现circZNF79 (5) 不影响YBX1 mRNA水平,而是通过调控其翻译后稳定性发挥作用;circZNF79 (5) 通过招募BRCC36(K63链去泛素化酶)去除YBX1的K63泛素链,阻止其被p62介导的选择性自噬降解。为了进一步验证circZNF79 (5) 在体内的生物学功能,作者构建了皮下肿瘤模型和原位移植瘤模型并进行了研究。结果发现敲低circZNF79 (5) 显著减小裸鼠皮下移植瘤的体积和重量,抑制原位移植瘤生长,且肿瘤组织中Ki-67和YBX1 表达降低。表明敲低circZNF79 (5) 在体内抑制HCC细胞增殖和肿瘤进展。为了进一步证实circZNF79(5)、YBX1和BRCC36之间的相关性,作者通过免疫荧光(IF)检测了YBX1和BRCC36在皮下肿瘤和原位肿瘤中的表达。结果发现circZNF79(5) 表达较高的HCC组织表现出更高的YBX1和BRCC36蛋白水平,circZNF79 (5) 的表达水平与YBX1、BRCC36蛋白水平呈显著正相关,共同构成了调控HCC进展的核心功能轴。

综上所述,作者认为circZNF79 (5)通过招募BRCC36去除YBX1的K63连接泛素链,抑制p62介导的选择性自噬降解来稳定YBX1蛋白,进而激活HIF-1信号通路,促进HCC细胞增殖、迁移和肿瘤生长;反之,下调的circZNF79(5)会削弱BRCC36与YBX1的结合,从而通过AMPK/mTOR信号通路激活p62介导的YBX1选择性自噬降解,进而抑制HCC进展。该研究为HCC的诊断提供了新的生物标志物,为治疗提供了circZNF79 (5)-YBX1-BRCC36轴这一潜在靶点,具有重要的基础研究价值和临床转化前景。

该研究中使用本公司的外泌体专用无血清培养基(货号:UR51102)对HCC细胞进行了培养,在排除外源血清外泌体干扰的情况下保证了细胞短期内的正常生长和外泌体的正常分泌,为接下来外泌体的提取纯化实验提供了高质量的细胞上清。然后用多合一外泌体提取纯化试剂盒(货号:UR52100)和血清-血浆外泌体提取纯化试剂盒升级版(货号:UR52151)对HCC细胞上清和HCC患者血清外泌体进行了提取纯化,接着用外泌体蛋白专用裂解液(货号:UR33101)对提取的外泌体进行了裂解,结果符合各检测指标要求,满足了客户下游实验需求。

参考文献:Dysregulation of CircZNF79(5) Modulates YBX1 Stability and Selective Autophagy to Drive Hepatocellular Carcinoma Progression. Advanced Science. 2025 Nov 12;e10310.
相关产品:
获取全文请扫描下方二维码:



扫码关注更多